Navigation>>九州沖縄農業研究センター >> 研究成果情報 >> 平成15年度目次

イグサ品種「ひのみどり」を識別するSSRマーカー


[要約]
単純反復配列(SSR)を利用して熊本県育成のイグサ品種「ひのみどり」を識別する技術を開発した。畳表から抽出したDNAを鋳型にマルチプレックスPCRにより100から250塩基対のDNA断片を増幅することで,高精度かつ安定にイグサ品種「ひのみどり」を識別可能である。

[キーワード]
イグサ、畳表、品種識別、DNAマーカー、SSR

[担当]
九州沖縄農研・作物機能研究部・育種工学研究室

[連絡先]096-242-7564	
[区分]九州沖縄農業・植物バイテク	
[分類]行政・普及	

[背景・ねらい]
平成15年の改正関税定率法の施行により育成者権侵害物品の輸入差し止めが可能になり、その技術的裏付けとしてイグサの品種識別技術の確立が求められている。従来の技術は高温で乾燥されたイグサ製品の断片化したDNAに対して安定な結果が得られないため、畳表からのDNA抽出技術の確立と安定で確実な品種識別技術を確立する。

[成果の内容・特徴]
  1. 劇薬を使用しない改変CTAB法により、畳表のイグサの先端部から切り取った長さ5cm程度の試料から4μg程度のDNAを簡易に抽出できる。

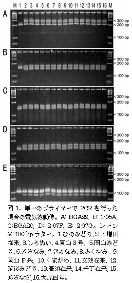
  2. 5種類の単純反復配列(SSR)領域を利用して品種識別するDNAマーカーを開発した。PCRのサイクルは,摂氏96度2分の変性の後,(摂氏96度5秒,摂氏58度15秒,摂氏72度30秒)を30回繰り返し,最後に摂氏72度2分間の伸長反応を行う。4%アガロースゲル電気泳動で増幅産物を分離すると,品種「ひのみどり」では1-2本、その他の16品種では2-3本のバンドが観察され品種の識別が可能である(図1)。

  3. 開発したSSRマーカーのうち4種類を併用するマルチプレックスPCR法により複数の遺伝子座の遺伝子型を同時に検定できるため、確実な識別が可能である(図2)。

[成果の活用面・留意点]
  1. 開発された5種類のマーカーはいずれも「ひのみどり」にはバンドが見られないことが特徴である。従って,製品の検定にあたっては乾燥茎1本ごとにDNAの抽出とPCRを行う必要がある。

  2. DNA抽出、プライマーの塩基配列、遺伝子型の検定に至る一連の具体的な手法は農林水産省種苗課のホームページで分析マニュアルとして公開されている(http://www.hinsyu.maff.go.jp/DNAgaido/san4.pdf)。
  3. DNA抽出からPCRまでに必要な試薬をキット化して市販する予定である。

[具体的データ]

図1 単一のプライマーでPCRを行った場合の電気泳動像


図2 4種のマーカーで(2-07G,2-07F,1-05A,BGA29)でマルチプレックスPCRを行った場合の電気泳動像

[その他]
研究課題名:SNP分析によるイグサ品種識別法の開発
課題ID:07-07-01-**-09-03
予算区分 :ネギ・イグサ
研究期間 :2001〜2003年度


目次へ戻る